InCiTe™ 2.0 3D X-Ray Microscope

Micro-CT with phase contrast and spectral imaging capabilities for superior clarity in low-density materials

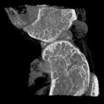
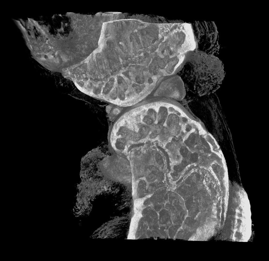
Imaging Gallery

System Overview

The inCiTe™ 2.0 3D X-ray Microscope is an advanced micro-CT system combining phase contrast and spectral imaging to deliver enhanced visualization of complex biological and orthopaedic structures. By capturing dual-energy X-ray data with every exposure, inCiTe™ 2.0 enables precise differentiation of bone, soft tissue, and biomaterials, supporting detailed assessment of bone microarchitecture, implant integration, and disease-related skeletal changes. Its powerful imaging capabilities provide researchers with high-resolution, quantitative 3D insights essential for preclinical orthopaedic research and multi-material biomedical applications.

Features & Benefits

Re-configurable modular design and upgradable for maximum flexibility 

X-ray source up to 130 kV for dense and/or thick samples
Propagation-based phase contrast imaging with the world-first BrillianSeTM a-Se/CMOS hybrid detector
X-ray spot size down to 2 μm (110 kV max.) for highest system spatial resolution
Fits samples up to 300 mm diameter and 200 mm height using RevealTM spectral flat-panel detector
Spectral triple-energy X-ray imaging using the world-first RevealTM spectral single exposure flat-panel detector

Sub-micron pixel size at maximum magnification with the world-first BrillianSeTM a-Se/CMOS hybrid detector 

System Specifications

  • Dimensions

    810 mm (W) x 1780 mm (L) x 1800 mm (H)

  • Weight

    1380 kg

  • Installation Requirements

    100-240 VAC, 50-60 Hz

Detector Specifications

BrillianSeTM Hybrid Detector RevealTM Flat-Panel Detector
Pixel size at minimum magnification
8 μm
140 μm
Field of view (FOV)
30 mm (⌀) x 30 mm (H)
300 mm (⌀) x 200 mm (H)
FOV at maximum magnification
3 mm (⌀) x 3 mm (H)
10.7 mm (⌀) x 7.1 mm (H)
Pixel size at maximum magnification
0.8 μm (10x)
5 μm (28x)

*Specifications are preliminary and subject to change without notice.

Sealed-type X-Ray Source Specifications

100 kV
  • Spot Size: 5 µm @ 7.5 W
  • Tube voltage: 20-100 kV
  • Maximum current: 375 µA
  • Maximum power: 15 W
110 kV
  • Spot Size: 2 µm @ 2W
  • Tube voltage: 40-110 kV
  • Maximum current: 200 µA
  • Maximum power: 16 W
130 kV
  • Spot Size: 8 µm @ 4W
  • Tube voltage: 40-130 kV
  • Maximum current: 300 µA
  • Maximum power: 39 W

Applications

  • Preclinical Imaging

  • Orthopaedics

  • Post-injury Fracture Healing

  • Bone Diseases

  • Musculoskeletal Disorders

Imaging Gallery

YOU MIGHT BE INTERESTED

InCiTe™ 3D X-Ray Microscope:

State-of-the-art benchtop micro-CT platform designed to deliver high-resolution, three-dimensional visualization of biological tissues, bone microarchitecture, and advanced materials.

Learn more
InCiTe™ 3D X-Ray Microscope