InCiTe™ 3D X-Ray Microscope

A high-resolution ex vivo benchtop micro-CT equipped with phase contrast

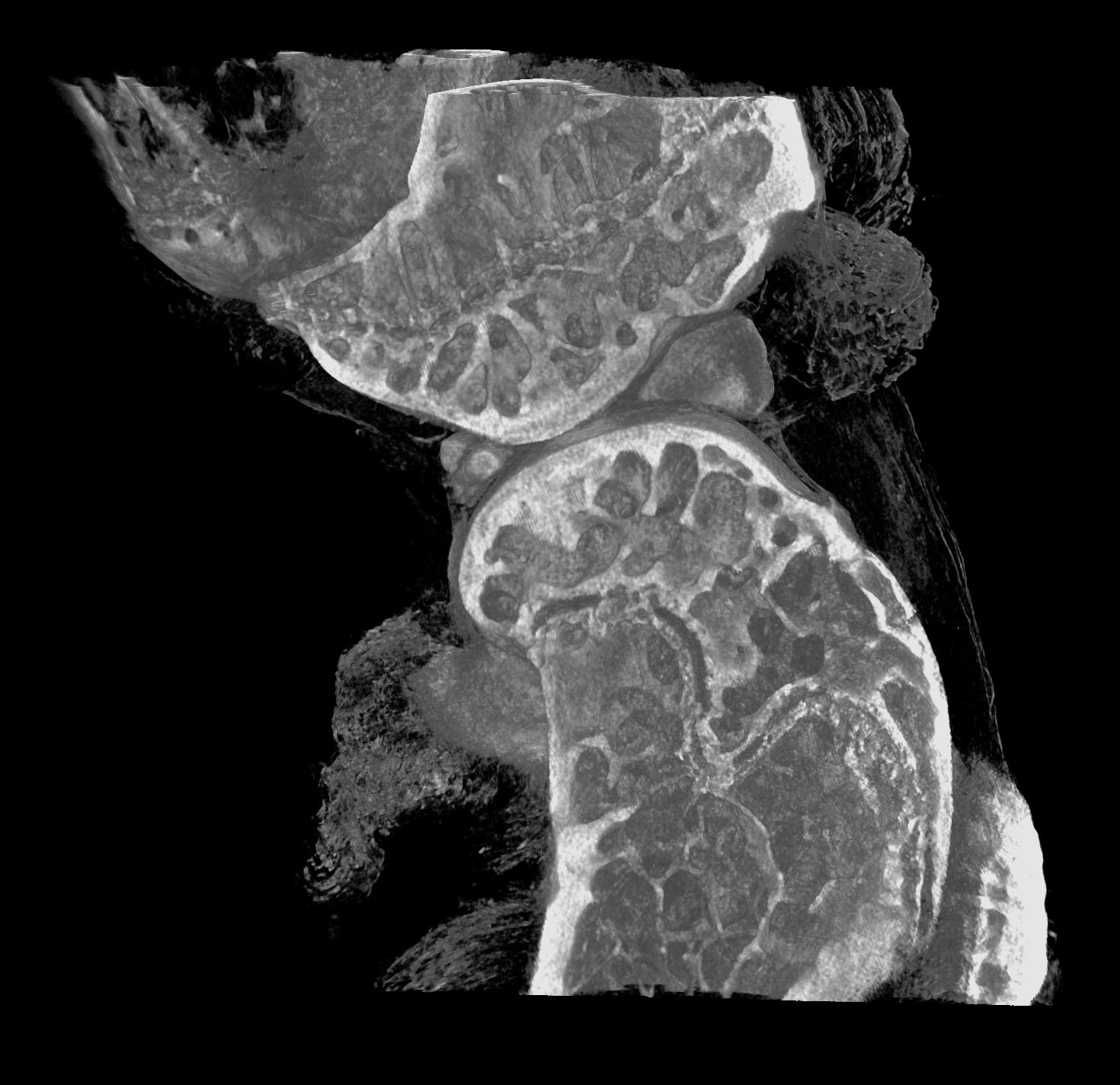
Imaging Gallery

System Overview

The inCiTe™ 3D X-ray Microscope is a state-of-the-art benchtop micro-CT platform designed to deliver high-resolution, three-dimensional visualization of biological tissues, bone microarchitecture, and advanced materials. Its phase contrast imaging capabilities reveal fine structural details in trabecular and cortical bone, implant-tissue interfaces, and low-density specimens that are difficult to resolve using conventional X-ray techniques. Compact yet powerful, the inCiTe™ 3D delivers exceptional insights, revolutionizing applications in preclinical orthopaedic research

Features & Benefits

Propagation-based X-Ray Phase Contrast 

Ultra High Resolution
Ex Vivo Imaging of Biological Samples
Simplified Workflow
Faster Scan Time

Friendly User Interface  

Models & Specifications

inCiTe™ 3D X-ray Microscope 5 μm

Source Specifications
  • Type: Maintenance-free, sealed
  • Smallest Spot Sixe: 5 μm (at 4W)
  • Voltage: 40-100 kV
  • Maximum Power: 20 W

inCiTe™ 3D X-ray Microscope 2 μm

Source Specifications
  • Type: Maintenance-free, sealed
  • Smallest Spot Sixe: 2 μm (at 4W)
  • Voltage: 40-100 kV
  • Maximum Power: 16 W
General Specifications inCiTe™ 3D X-ray Microscope 5 μm / 2 μm
Maximum sample/scanning diameter
25 mm
Maximum scanning length
30 mm
Maximum sample length
100 mm
Image format
Raw (no header), 16-bit unsigned, little endian
Spatial resolution
11 μm (0.5 MTF at 45 cycles/mm) 5.6 μm (0.1 MTF at 90 cycles/mm)
X-Ray phase contrast
Propagation-based
Source-to-object distance
44-410 mm
Source-to-detector distance
84-450 mm
Lateral object translation
50 mm
Vertical object translation
12.7 mm
Rotational stepping
0.01 degrees (min.)
Detector type
Selenium-CMOS direct conversion
Detector format
16 MP (4k x 4k pixels)
Detector area
32 × 32 mm2
Pixel pitch
8 μm
Pixel size at maximum magnification
0.8 μm
Radiation safety
< 4 μSv/hr at 5 cm distance from any accessible surface
Dimensions (D x W x H)
48 cm (D) x 150 cm (W) x 60 cm (H)
Weight
280 kg
Installation requirements
  • 120V AC power
  • 10–30°C temperature
  • < 85% humidity
  • Zero condensation

Applications

  • Preclinical Imaging

  • Orthopaedics

  • Post-injury Fracture Healing

  • Bone Diseases

  • Musculoskeletal Disorders

Imaging Gallery

You MIGHT BE INTERESTED

InCiTe™ 2.0 3D X-Ray Microscope:

Advanced micro-CT system combining phase contrast and spectral imaging to deliver enhanced visualization of complex biological and orthopaedic structures.

Learn more
InCiTe™ 2.0 3D X-Ray Microscope