Prospect T2
High-frequency Ultrasound System For Preclinical Imaging
"In all, I recommend the device to any wishing to study hemodynamics"
Henry Palfrey
University of Arkansas for Medical Sciences
"Enhanced workflow & imaging with excellent support"
Katy Trampel
Northwestern University
"This is one of the best money spent on equipment for our mouse models in the laboratory!"
Danielle Carlson
Mayo Clinic Rochester
System Overview
The Prospect T2 is an innovative high-frequency ultrasound system designed specifically for in vivo preclinical imaging in small animals such as mice and rats. This compact and cost-effective tablet-based system provides high-resolution images (up to 30 µm) and advanced capabilities to monitor changes in hemodynamics and observe anatomical structures in real-time.
With its standard ultrasound capabilities, such as B-mode, M-mode, Color/Power Doppler, Pulsed Wave Doppler, Tissue Doppler, and Contrast imaging, the Prospect T2 offers an array of imaging options for a wide range of applications.
Additionally, the system offers access to the RAW digital RF data, making it possible to generate quantitative results and perform offline data analysis.
The included scanning platform is equipped with a heated mouse or rat-sized platform and integrated physiological monitoring, making it easier to position the animal and acquire high-quality images.
Three different single-element probes are available to choose from, depending on the animal to be imaged and the anatomical targets. The ergonomic design of the animal handling apparatus ensures easy positioning and cleaning between imaging subjects, while the analytical tools and measurement packages help to speed up the process of generating results.
Features & Benefits
The Prospect T2, a cost-effective high-frequency preclinical ultrasound system, can be used within the laboratory. No more need for a core imaging facility.
Standard Imaging Modes
- B-Mode
- M-Mode
- Pulsed Wave, Tissue, Color, Power Doppler
- Contrast Mode
(Linear and non-linear/harmonic)
Probes & Platforms
Probe Options:
- 20MHz
- 40MHz
- 50MHz
Animal Handling Platforms:
- Mouse Table
- Rat Table
Comprehensive Measurement Packages
Users can quickly perform the measurements, compile data reports, and generate quantifiable outputs from images and spectrograms.
Analysis may be done on the system, or an offline analysis workstation.
ECG Gated Kilohertz Visualization
This mode allows users to acquire B-mode images of the heart with up to 400fps; these images provide exquisite detail of cardiac motion and may be used with any of the standard measurement tools.
RAW Data and Import Scripts
Researchers who want to look at the digital RF data from any mode can easily access it and import it into third-party software for further analysis.
Compact & Small Footprint
Tablet-based acquisition computer and compact scanning platform.
The system can easily be moved and does not need to reside in a core facility.
If needed, the system can fit within a biosafety cabinet to help researchers who may be working with immunocompromised animals or those with other concerns.
Simplified Image Guided Injection Mount
With the probe and injection mount connected, once the needle and imaging plane are aligned, the user can move the probe/needle as needed to perform the injection.
Add-on Hardware/Software Options
- 3D Motor, including software for volume measurements
- Image Guided Injection Mount, with software image guide
- Shear Wave Elastography/ Acoustic Radiation Force push probe and software integration
Intuitive Workflow with Touch Screen
Preclinical researchers can quickly start their studies, acquire and store images from the various modes available, review their data and perform their required measurements.Â
(Keyboard and mouse also included)
Non-linear Contrast Agent Imaging (First Harmonic)
This increases sensitivity to microbubble contrast agents without requiring reference subtraction for linear contrast agent imaging.
This improves signal sensitivity and the risk of motion artifacts within the images.is available using both the 20MHz and 40MHz probes.
Imaging Modes
B-Mode
B-Mode
 Mouse Carotid Artery – B-Mode
B-Mode
B-Mode
Mouse E15 Embryo – B-Mode
B-Mode
B-Mode
Mouse Left Ventricle in Long Axis – B-Mode
3D B-Mode
Mouse Mammary Fat Pad Tumor – 3D B-Mode
ECG-Gated Kilohertz Visualization
 Mouse Left Ventricle in Long Axis – B-Mode with 30fps
ECG-Gated Kilohertz Visualization
Mouse Left Ventricle in Long Axis – ECG- gated kilohertz visualization with 120fps, now possible up to 400fps
M-Mode
Mouse Left Ventricle in Short Axis – M-Mode
Color Doppler
Mouse Aortic Arch – Color Doppler
Power Doppler
Mouse Subcutaneous Tumor – Power Doppler
Pulsed Wave (PW) Doppler
Mouse Mitral Valve Inflow – PW Doppler
Tissue Doppler
Mouse Mitral Valve Annulus – Tissue Doppler
Contrast Mode
Mouse subcutaneous tumor – Non-linear contrast agent imaging with regions of interest drawn
Contrast Mode
Mouse subcutaneous tumor – Non-linear contrast agent imaging Time vs. Intensity plots for drawn regions of interest
Shear Wave Elastography
Shear wave elastography is a technique used to study and quantify the mechanical and elastic properties of various tissues including liver, breast, tendons, muscles, etc. An acoustic radiation force is generated by a secondary, non-imaging, element mounted on the side of the imaging probe. The software is used to program the pulse sequence to generate the shear wave; the wave will propagate faster through stiffer tissues, as well as along the axis of various musculoskeletal structures. The analysis software generates a colored elastogram which is overlaid upon a B-mode image. Tissues with focal or diffuse lesions may be identified using this technique.
Propagation of Shear Wave through mouse liver
Shear Wave Elastogram showing focal lesion in mouse liver
Models & Specifications
Available Probes
-
PB506e – Center Frequency 50MHz (33-50MHz)
-
PB406e – Center Frequency 40MHz (33-50MHz)
-
PB207e – Center Frequency 20MHz (15-25MHz)
Available Platforms
-
Mouse Platform 17.2 x 14.2cm
-
Rat Platform 28.3 x 18.2cm
Standard, Advanced & Optional
-
B-Mode
-
M-Mode
-
Pulsed Wave / Tissue / Color / Power Doppler
-
Contrast Mode (Linear and Non-Linear/Harmonic
-
RAW data available for all modes
Accessories & add-ons
3D Motor and Acquisition/Analysis Software
The 3D motor connects to the imaging platform to precisely move the animal bed with imaging subject under the probe. The acquisition software allows the user to select the distance the motor will travel and the step size. The acquired imaging slices are then reconstructed into a 3D image. The visualization and analysis software allows the user to move through the acquired image, view it as a 3D surface, and make volume measurements.
Mammary Fat Pad Tumor in Mouse – 3D Image
Mammary Fat Pad Tumor in Mouse – 3D Volume = 263mm3
Mouse Hind Limb Muscle – 3D Image
Mouse Hind Limb Muscle – 3D Volume = 97.6mm3
Image-guided Needle Injection Mount
Image guided needle injection is used to accurately target an injection site, whether it be the myocardium, abdominal organ, vascular target, or structure within the developing embryo. The injection mount is attached to the probe to help ensure the needle remains in alignment with the imaging plane. The trajectory of the needle can be adjusted and may be viewed using the image guide overlay. The needle is advanced manually into position while observing its position on a 2D B-mode image. The accessory may be used with either a standard syringe and needle or pulled glass capillary auto-injector.
Injection Mount with Steel Needle and Syringe
Image Guided Injection, with Steel Needle, into Mouse Myocardium
Image Guided Injection, with Pulled Glass Capillary Needle, into Externalized Mouse Embryo
Integrated Shear Wave Elastography Probe and Analysis Software
Shear wave elastography is a technique used to study and quantify the mechanical and elastic properties of various superficial tissues including liver, breast, tendons, muscles, etc. An acoustic radiation force is generated by a secondary, non-imaging, element mounted on the side of the imaging probe. The software is used to program the pulse sequence to generate the shear wave; the wave will propagate faster through stiffer tissues, as well as along the axis of various musculoskeletal structures. The analysis software generates a colored elastogram which is overlaid upon a B-mode image. Tissues with focal or diffuse lesions may be identified using this technique.
Propagation of Shear Wave through mouse liver
Image Guided Injection, with Steel Needle, into Mouse Myocardium
Prospect T2 Imaging Gallery
Applications
Cardiovascular Biology
The Prospect T2 is routinely used for cardiovascular imaging of a variety of small animal models, including mice and rats.
Real-time images are provided of the heart and a wide variety of blood vessels.
The system can be used to assess both systolic and diastolic function in the heart; as well to image and assess flow through any number of blood vessels, including the aorta, pulmonary, carotid, renal, splenic, and femoral arteries etc. Veins, including the vena cava and portal veins may also be assessed.
Imaging may be performed in utero, as early as day 1 after delivery, all the way through adulthood.
Cardiovascular function may be of interest as disease progresses, perhaps induced by surgical intervention, transgenic mutation, or systemic treatment with a therapy or toxic compound. Ultrasound imaging is non-invasive, so the same measurements may be taken repeatedly over the course of a longitudinal study.
Mouse Left Ventricle in Long Axis in B-Mode
Mouse Left Ventricle in Short Axis in M-Mode with Measurements to Calculate Systolic Function
Mouse Mitral Valve Inflow in PW Doppler with Measurements to Calculate Diastolic Function
Mouse Mitral Annulus in Tissue Doppler with Measurements to Assess Diastolic Function
Caption – Mouse Aortic Arch in Color Doppler
Mouse Carotid Artery in B-Mode
Mouse Pulmonary Artery in PW Doppler to Assess RV Outflow
Cancer Biology
The Prospect T2 is routinely used in a wide variety of oncology research applications. The system may be used on xerograph, orthotopic, PDX, and transgenic tumor models in a wide variety of animal models.
The system can be used to detect the presence of tumors or metastases in a wide variety of tissues, except for lungs, brain (due to the skull), and bones. Tumor volumes may be tracked over time, surrounding organs and structures can be imaged as well – such as the spleen or lymph nodes.
Blood flow may be assessed using Doppler techniques or using microbubble contrast agents, which may also be used to assess the molecular expression of specific biomarkers.
Image guided injections can be used to inject cells into a specific anatomical target, or to perform a biopsy or aspiration, reducing the need for invasive surgery.
Shear wave elastography can be used to assess mechanical changes within superficial organs, like the liver, or within the tumor itself.
All techniques can be used to observe the progression of a lesion over time, or the regression or alternative effects of therapeutic intervention. Ultrasound imaging is non-invasive, so the same measurements may be taken repeatedly over the course of a longitudinal study.
Mouse Live Tumor in B-Mode, Tumor Cells Orthotopically Injected
Mouse Pancreatic Tumor in B-Mode, Transgenic KPC Model
Mouse Mammary Fat Pad Tumor in 3D B-Mode, Orthotopically Injected Cells
Mouse Inguinal Lymph Node in B-Mode
Mouse Spleen in B-Mode
Mouse subcutaneous tumor – Non-linear contrast agent imaging with regions of interest drawn
Mouse subcutaneous tumor – Non-linear contrast agent imaging Time vs. Intensity plots for drawn regions of interest
Abdominal & Anatomical Imaging
The Prospect T2 can be used to assess a variety of abdominal organs and tissues, along with many other anatomical structures within the urogenital tract, and musculoskeletal areas.
Organ size and location may be assessed both in 2D and 3D, while blood vessels may also be imaged, and flow assessed. Ultrasound may also be used to image structures outside of the abdomen such as the thymus, salivary glands, muscles, etc.
Image guided injection or biopsy may also be performed on any organ or tissue of interest, and shear wave elastography may also be used on a variety of superficial structures. Microbubble contrast agents may also be used to assess perfusion or expression of specific biomarkers in these areas.
All techniques can be used to observe the progression of a lesion over time, or the regression or alternative effects of therapeutic intervention. Ultrasound imaging is non-invasive, so the same measurements may be taken repeatedly over the course of a longitudinal study.
Mouse Abdominal Organs in B-Mode
Mouse Supra-Renal Abdominal Aorta Aneurysm in B-Mode
Mouse Hind Limb Muscle in 3D B-Mode
Mouse Renal Vasculature in PW Mode
Propagation of Shear Wave through mouse liver
Shear Wave Elastogram showing focal lesion in mouse liver
Developmental Biology
The Prospect T2 can be used to confirm, count, and stage pregnancy, assess embryonic development, visualize the first signs of cardiac contraction, and monitor embryos for viability or resorption.
All available imaging modes can be used on the developing embryos, including M-Mode, Color Doppler, and PW Doppler to assess cardiac function.
Image guided injections may be performed on externalized embryos. Once injections are complete, the uterine horns are replaced in the dame, and are delivered normally with the effects of the injection taking effect.
All techniques can be used to observe the progression of a lesion over time, or the regression or alternative effects of therapeutic intervention. Ultrasound imaging is non-invasive, so the same measurements may be taken repeatedly over the course of a longitudinal study.
Mouse Uterine Horn in B-Mode
Mouse E7.5 Embryos in B-Mode
Mouse E10 Embryos in B-Mode
Mouse E15 Embryo in B-Mode
Mouse E15 Embryo in M-Mode with Heart Rate Measured
Mouse E15.5 Externalized Embryo with Image Guided Injection
Ophthalmology
The Prospect T2 can be used to visualize both the anterior and posterior structures of the eye from a variety of species, not limited to small animals. Three-dimensional imaging may also be performed on the eye. Doppler imaging modes can be used to assess flow in larger blood vessels, like the retinal artery, while microbubble contrast agents can be used to assess perfusion in the eye.
If any type of injection or biopsy is needed, the system can also be used to perform image guided injections.
All techniques can be used to observe the progression of a lesion over time, or the regression or alternative effects of therapeutic intervention. Ultrasound imaging is non-invasive, so the same measurements may be taken repeatedly over the course of a longitudinal study.
Image guided injections may be performed on externalized embryos. Once injections are complete, the uterine horns are replaced in the dame, and are delivered normally with the effects of the injection taking effect.
All techniques can be used to observe the progression of a lesion over time, or the regression or alternative effects of therapeutic intervention. Ultrasound imaging is non-invasive, so the same measurements may be taken repeatedly over the course of a longitudinal study.
Rabbit Anterior Structure of Eye in B-Mode
Mouse Eye in 3D B-Mode
Mouse Retinal Artery in PW Doppler
Other Species
The Prospect T2 is not limited to use on conventional small animal models such as mice and rats. It can be used on a wide variety of other species including Zebrafish, Chick Embryos, other amphibious species, bats, hamsters, etc. As long as there is a liquid interface between the probe and the tissue, and the sound waves are able to penetrate, then an image should be possible.
Where appropriate all available imaging modes can be used, along with the 3D, and image guided injection options.
All techniques can be used to observe the progression of a lesion over time, or the regression or alternative effects of therapeutic intervention. Ultrasound imaging is non-invasive, so the same measurements may be taken repeatedly over the course of a longitudinal study.
Chick Embryo Day 7 in B-Mode
Chick Embryo Day 7 in PW Mode
Zebrafish Heart in PW Mode
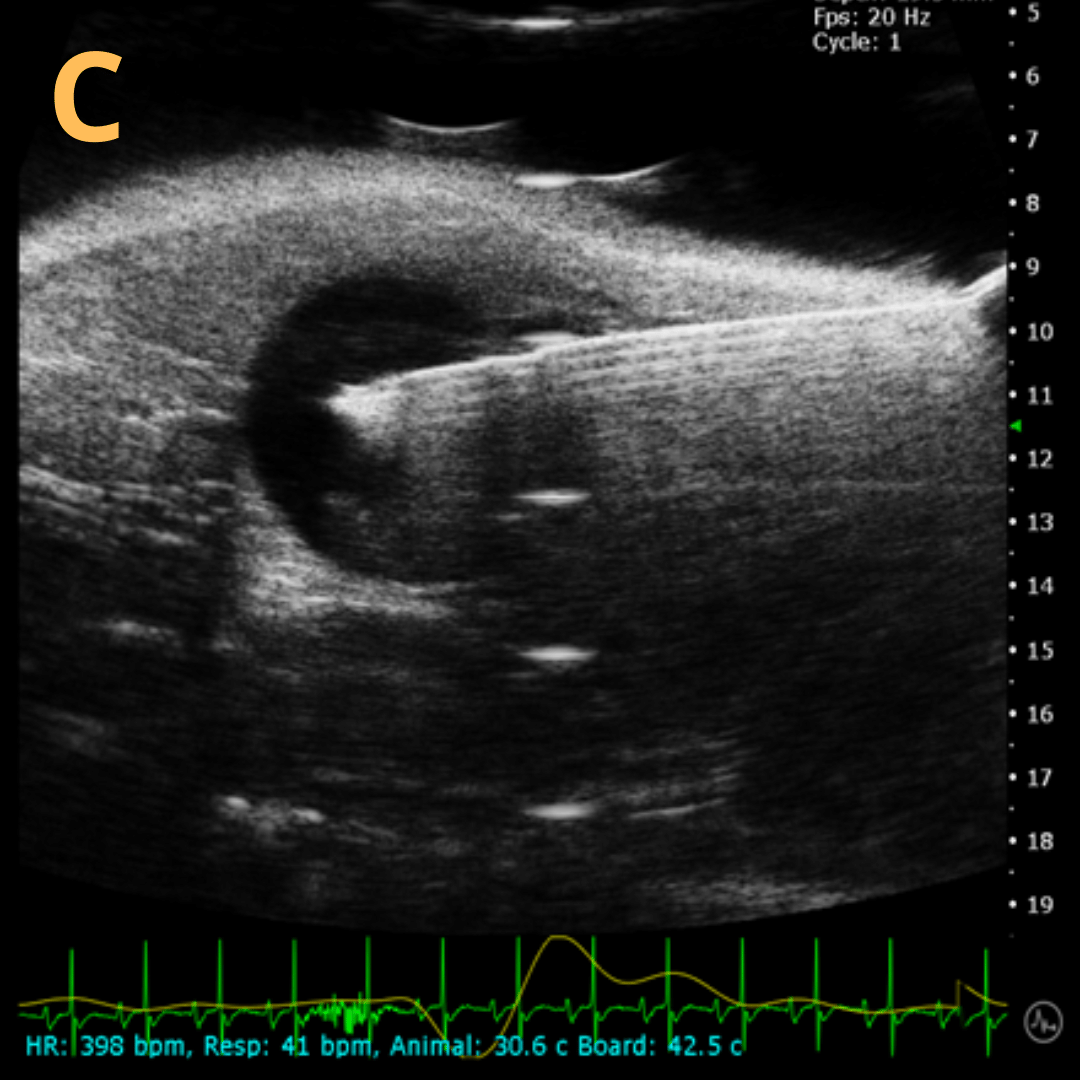
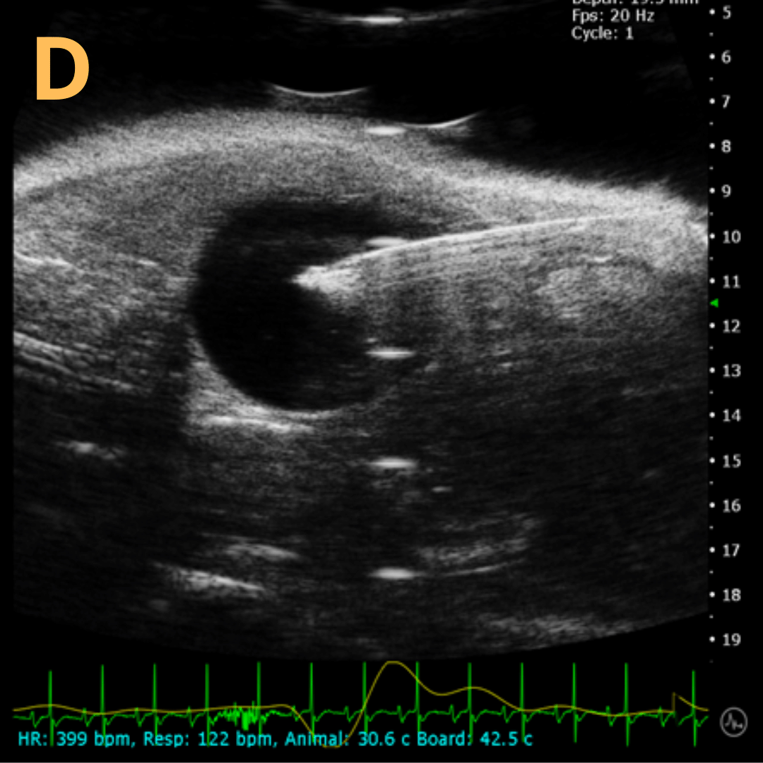
Basic Bladder Imaging
These are imaging from an emptied bladder (A – C) and a full bladder (D – F). This is A) a B-mode video scanning an emptied bladder with B) a still frame with C) the landmarks noted. This is D) a B-mode video scanning a full bladder with E) a still frame with F) the landmarks noted. Imaging on a wildtype C57B6J mouse model – acquired images are from Stephen Zderic’s lab at the Children’s Hospital of Philadelphia.
Ultrasound-Guided Injection
This is A) a B-mode video showing an injection into the bladder with B – D being still frames of B) before injection of any solution with the landmarks noted, C) during injection with bladder becoming notably larger, and D) the end of injection before needle will be removed. Imaging on a wildtype C57B6J mouse model – acquired images are from Stephen Zderic’s lab at the Children’s Hospital of Philadelphia.
Ultrasound-Guided Bladder Catheterization
This is A) a B-mode video showing insertion of a thin-needle catheter via a larger-sized guide needle with B) the landmarks noted. C) is another example of this technique with D) the landmarks noted. E) Removal of catheter needle with F) the landmarks noted. Verification of successful injection via catheter is shown in G – H with G) showing the bladder before injection and H) showing after successful injection. Imaging on a wildtype C57B6J mouse model – acquired images are from Stephen Zderic’s lab at the Children’s Hospital of Philadelphia.
An in-plane introducer (guide) needle was used to puncture through the skin of the animal, while a thin needle catheter was fed through the introducer needle and used to puncture through the bladder wall. Using the catheter prevents potential leakage or complete collapse of bladder.
Publications & Articles
Scintica Morning Coffee Chat Episode 2: FAQ – Installing & Operating the iNSiGHT DXA System
https://youtu.be/Yi0lydfNs5I In this episode of Scintica Morning Coffee Chat, we examine the technical and operational requirements
Clinical vs. Preclinical Ultrasound: Why Frequency Matters
Clinical vs. Preclinical Ultrasound: Why Frequency Matters View Paper Here Our Ultrasound SystemProspect
Scintica Morning Coffee Chat Episode 1: DXA & Ultrasound
https://youtu.be/KfbEW_b5Gpg?si=2xXwoxw-DuGtjq77 Join us on our first episode of the Scintica Morning Coffee Chat. This