Skip to content
info@scintica.com
Linkedin
Twitter
Youtube
Instagram
Facebook
Call Today
Search
Products
Imaging
DEXA
X-Ray
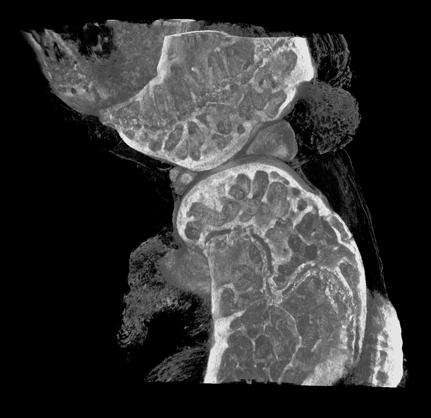
inCiTe™ 3D X-Ray Microscope
inCiTe™ 2.0 3D X-Ray Microscope
MRI
Optical (BLI & FLI)
Newton 7.0 (BLI & FLI)
Newton FT-900 (NIR & NIR-II)
Ultrasound
High-Frequency Ultrasound
Research/Therapeutic US
PET & CT
PET/CT
PET/MR
Compact PET & CT
SPECT
SPECT
NMR Body Composition Analyzer
Photoacoustic
Small Animal 3D PA/FLI
Engineering PA/US
Laser Speckle
Phantoms
Software
Consumables
Microscopy
Intravital Microscopy
Bioprinting
NGB-R
U-FAB ACTIVO
Lab Equipment
Western Blot
FUSION Absolute
Fusion Solo & FX
Gel Documentation
UV Irradiation System
Incubators
Live Cell Imaging
Cryostats
Microcentrifuge
Microtome
Consumables
Biodecontamination System
Surgery
Anesthesia
Surgical Monitor
Heat Pads
Stereotaxic
Ventilators
Physiology
Blood Flow Velocity
Fiber Photometry
Laser Speckle
Optogenetics
Tissue Perfusion Monitor
Tissue Oxygen Monitor
Cell & Isolated Tissue
Automated Cell Counter
Automated Colony Counter
Dissolved Oxygen Monitor
Isolated Heart
Pressure Arteriography
Wire Myography
Hypoxia & Atmospheric Control
Anaerobic Workstations
Concept
BugBox
In Vitro Hypoxia Chambers
InVivO2
ReCO2ver
PhO2xBox
SCI-Tive
CondoCell
OxyGenie
In Vivo Hypoxia Chambers
VelO2x
Data Acquisition Solutions
Data Acquisition and Preamplification Electronics
Engineering PA/US
Software
Imalytics
Segment
VivoQuant
Phantoms
Consumables
Contrast Agents
Biodecontamination
Dissection Dishes
Vessel Cannula
Dissection Pins
Applications
Cardiovascular Biology
Cardiac Function
High-Frequency Ultrasound
MRI
PET
Blood Flow Velocity
Isolated Heart
Vascular Function
Blood Flow Velocity
Laser Speckle
Lasser-Doppler Tissue Blood Flow
Dissolved Oxygen (pO2) and Temperature Monitors
Wire Myography
Pressure Arteriography
Blood Pressure
Pressure Module on RSM
ECG
Disease Model Development
Anesthesia
Heat Pads
Surgical Monitor
Prospect T2 (injection)
Ventilators
Cells & Organoids
Bioprinting
NGB-R
Gel Documentation
Oncology
Tumor & Molecular Imaging
High-Frequency Ultrasound
MRI
PET/CT
Intravital Microscopy
Optical (BLI, FLI, NIR, NIR-II)
Photoacoustic
Angiogenesis
Laser Speckle
Intravital Microscopy
Tissue Oxygen Monitor
Tumor Hypoxia
Tissue Perfusion Monitor
Tissue Oxygen Monitor
Cells & Organoids
Bioprinter
Gel Documentation
Model Development
Anesthesia
Prospect T2 (injection)
Heat Pads
Surgical Monitor
Neurology
Brain & Spinal Cord Imaging
MRI
Laser Speckle
PET/CT
Intravital Microscopy
Optical (BLI, FLI, NIR, NIR-II)
Photoacoustic
Tissue Hypoxia
Tissue Perfusion Monitor
Tissue Oxygen Monitor
Neuronal Activity
Model Development
Anesthesia
Heat Pads
Stereotaxic
Surgical Monitor
Ventilators
Cells & Organoids
Bioprinter
Gel Documentation
Developmental Biology
Detection & Staging of Pregnancy
High-Frequency Ultrasound
MRI
Viability & Resorption
High-Frequency Ultrasound
Placental Health
Photoacoustic
MRI
Intravital Microscopy
Laser Speckle
Tissue Oxygen Monitor
Tissue Perfusion Monitor
Model Development
Anesthesia
Heat Pads
Prospect T2 (injection)
Surgical Monitor
Cells & Organoids
Bioprinter
Gel Documentation
Abdominal Anatomy
Organ & Molecular Imaging
MRI
High-Frequency Ultrasound
PET/CT
Intravital Microscopy
Optical (BLI, FLI, NIR, NIR-II)
Photoacoustic
Tissue Hypoxia
Tissue Perfusion Monitor
Tissue Oxygen Monitor
Model Development
Anesthesia
Heat Pads
Surgical Monitor
Cells & Organoids
Bioprinter
Gel Documentation
Pulmonary Biology
Lung & Molecular Imaging
MRI
PET & CT
PET/CT
Compact PET or CT
Intravital Microscopy
Optical (BLI, FLI, NIR, NIR-II)
Model Development
Anesthesia
MRI
Surgical Monitor
Heat Pads
Ventilators
Cells & Organoids
Bioprinter
Gel Documentation
Musculoskeletal Anatomy
Body Composition
DEXA
Muscle Imaging
High-Frequency Ultrasound
Intravital Microscopy
DEXA
Bone Imaging & Composition
Compact PET or CT
DEXA
Tissue Hypoxia
Tissue Perfusion Monitor
Tissue Oxygen Monitor
Model Development
Anesthesia
Heat Pads
Surgical Monitor
Cells & Organoids
Gel Documentation
Bioprinter
Drug Discovery
Pharmacokinetics & Pharmacodynamic
Compact PET or CT
Optical (BLI, FLI, NIR, NIR-II)
In Vivo Efficacy Studies
High-Frequency Ultrasound
ECG
Tissue Oxygen Monitor
Tissue Perfusion Monitor
Laser Speckle
MRI
PET/CT
PET Insert
PET & CT
Compact PET or CT
Micro CT
Intravital Microscopy
Photoacoustic
DEXA
Bioprinter
Optical (BLI, FLI, NIR, NIR-II)
DEXA
Model Development
Anesthesia
Heat Pads
Surgical Monitor
Ventilators
Stereotaxic
In Vitro Efficacy Studies
Bioprinter
Gel Documentation
Safety Pharmacology
Cardiovascular System Effects
Cardiac Function
Vascular Function
Blood Pressure
ECG
Respiratory System Effects
Nervous System Effects
Brain & Spinal Cord Imaging
Neuronal Activity
Developmental & Reproductive Effects
Detection & Staging of Pregnancy
High-Frequency Ultrasound
MRI
Body Composition and Bone Metabolism Effects
DEXA
Carcinogenic Effect
Tumor & Molecular Imaging
Cells & Organoids
Gel Documentation
Bioprinter
Microbiology & Immunology
Immune Response
Imaging
Microscopy
Gel Documentation
Therapeutic Development & Efficacy
Imaging
Microscopy
Gel Documentation
Vaccine Development
Disease Detection
Microscopy
Imaging
Disease Pathology & Progression
Imaging
Microscopy
Cells & Organoids
Bioprinter
Gel Documentation
Regenerative Medicine
Stem Cells
Bioprinter
Gel Documentation
Biomaterials & Tissue Engineering
Imaging
Microscopy
Bioprinter
Gel Documentation
Regenerative Therapies
Imaging
Microscopy
Bioprinter
Gel Documentation
Organoids
Bioprinter
Agricultural Applications
Plant Imaging
Optical (BLI, FLI, NIR, NIR-II)
Gel Documentation
Bioprinter
Engineering & System Components
Research/Therapeutic US
Data Acquisition and Preamplification Electronics
Engineering PA/US
Other Animal Models
Mouse
Rat
Zebrafish
Other Aqueous Species
Large Animals
Non-Human Primate
Other Animals
Services
CRO Services
Resources
Upcoming Events & Webinars
Past Webinars
Explained: Preclinical Multimodal Imaging
Explained The 3R’s In Animal Research
Science Blog
Publications & Articles
Under the Microscope
FAQ
Grant Application
About Us
About Us
Careers
News
Our Partners
Global Distributors
Shop
Contact us
ImageJ=1.54gunit=inch