Article Review: New Approach Methodologies (NAMs)

Therapeutic Efficacy of Human Skin Equivalents Fabricated via Droplet-Based Bioprinting and Nebulization Technology

Molecular & Cellular Toxicology (2023)

System Used:

Activo Bioprinter

Overview:

This study presents a novel approach to fabricating human skin equivalents (hSKE) using droplet-based 3D bioprinting combined with nebulization technology. Unlike traditional manual or extrusion-based methods, this technique allows for high reproducibility, uniformity, and improved cell viability in skin constructs.

Methodology: 

  • Dermis was created by printing collagen bioink with human dermal fibroblasts, stabilized using nebulized sodium bicarbonate as a crosslinking agent. 
  • The epidermis was formed by printing keratinocyte bioink, followed by air–liquid interface culture to induce stratification. 
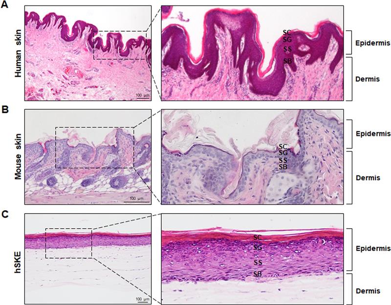
  • Constructs were compared with native human and mouse skin to confirm morphological similarity. 
  • Efficacy was evaluated through a skin grafting model.

Outcome

  1. Bioprinted hSKE Mimics Native Skin: hSKE fabricated using droplet-based bioprinting and nebulization techniques can effectively replicate the dermal and epidermal architecture of native skin, including the keratinization process of keratinocytes within the epidermis. 
  2. Cell viability: Droplet-based printing at low pressure preserved fibroblast and keratinocyte survival rates (>84%).
  3. Therapeutic efficacy: In wound healing models, hSKE transplantation:

    • Accelerated wound closure

    • Promoted vascularization (over 2× more blood vessels than collagen-only controls)

    • Supported mature collagen deposition and organized dermal regeneration

  4. Advantages of nebulization: By spraying crosslinking agents as a fine mist, nebulization prevented nozzle clogging and enabled printing of low-viscosity collagen bioinks without cell loss. 

Figure 1-Fabrication of hSKE using droplet-based bioprinting with nebulization. A: Droplet nozzle, B: Nebulizer spray, C: Printing design, D: Printed collagen, E: Fibroblasts in collagen (0 & 1 day), F: Schematic of hSKE fabrication. Scale bar: 200 μm.

Figure 2-Comparison of morphological similarities between manufactured hSKE and native skin through H&E staining. A Human native skin isolated from circum tissue. B Mouse native skin sampled from the skin of nude mice. C hSKE produced by printing each major cell. Scale bar: 100 μm

Conclusion:

Nebulization-enabled droplet bioprinting is a powerful method for fabricating reproducible, scalable, and functional human skin equivalents. Beyond wound healing applications, this approach offers significant promise as a New Approach Methodology (NAM) in dermatology, cosmetics, and drug development. Future work will focus on hiPSC-derived skin equivalents, enabling personalized and patient-specific skin therapies.

Interested in Bioprinting?

Check out the U-FAB Activo